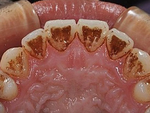
牙齿是人的门面,大家平时开心的时候就会大笑,而大笑的时候别人最容易关注到的就是大家的牙齿,毕竟牙齿是不是整齐是不是白皙能够影响对方对自己的评价。虽然说表面的白皙以及整体大家是能够看到的,但是,如果大家没有定期的清理自己的牙齿的话,就会产生牙垢,而牙垢怎么去除就是大众关心的话题了。

牙垢怎么去除
如果大家真的想要去除牙垢最为快捷的方式,就是去找专业的牙医,牙医哪里有十分成熟的设备可以帮助大家在最短的时间内将牙垢清洗干净,这也就是大家常说的洗牙。基本上每次洗牙之后,牙垢自然也就消除了。不少人都有定期洗牙的习惯,这还是比较的重要的。此外,在日常的生活中大家也要坚持一天刷两遍牙齿,这样才能够将口腔中的残留物质清除干净,避免牙垢的产生,大多数人会有牙垢都是由于不健康的习惯造成的。所以,除了定期的到牙医哪里洗牙以外,日常的一些小习惯也是非常的重要的。
在大家知道牙垢怎么去除以后,只要坚持这样做才能够保证口腔健康。